Καρωτιδική νόσος
Καρωτιδική νόσος – στένωση καρωτίδας

Η καρωτιδική νόσος είναι άρρηκτα συνυφασμένη με τα αγγειακά ισχαιμικά εγκεφαλικά επεισόδια (εγκεφαλικό), καθότι το 25% των επεισοδίων προέρχονται από την περιοχή των καρωτίδων.
Είναι απαραίτητο να αναλυθούν κάποιες βασικές έννοιες της συμπτωματολογίας που μπορεί να προκαλέσει η καρωτιδική νόσος, ώστε να γίνει πιο εύκολα αντιληπτή στον ασθενή ο οποίος καλείται να απευθυνθεί στον κατάλληλο Αγγειοχειρουργό ώστε να θεραπευτεί.
Βασικές έννοιες που συνδέονται με την καρωτιδική νόσο :
- Αγγειακό Εγκεφαλικό Επεισόδιο (ΑΕΕ) : είναι οποιαδήποτε εστιασμένη η γενικευμένη νευρολογική σημειολογία που έχει διάρκεια μεγαλύτερη από 24 ώρες.
- Παροδικό Ισχαιμικό επεισόδιο : είναι ισχαιμική νευρολογική σημειολογία που υποχωρεί πλήρως εντός 24 ωρών.
- Παροδική διαταραχή όρασης : γνωστή και ως Amaurosis Fugax, είναι μια παροδική βλάβη κατά την οποία ο ασθενής έχει την αίσθηση σαν μια κουρτίνα να καλύπτει το μάτι του ή σαν να μαυρίζει το οπτικό του πεδίο.
Οποιοδήποτε από τα παραπάνω συμπτώματα συναντήσει ο ασθενής θεωρείται συμπτωματικός. Ασυμπτωματικός ασθενής είναι όταν υπάρχουν αθηρωματικές αλλοιώσεις στην καρωτίδα (κοινή ή έσω) χωρίς να παρουσιάσει ο πάσχον κλινική σημειολογία. Αυτός είναι και ο λόγος που στις περισσότερες των περιπτώσεων οι βλάβες αυτές είναι τυχαίο εύρημα μετά από εξέταση ρουτίνας.
Επιδημιολογία :
Σύμφωνα με την Ευρωπαϊκή επιτροπή της αγγειοχειρουργικής κοινότητας 1,1 εκατομμύρια θάνατοι προέρχονται από εγκεφαλικό επεισόδιο κάθε χρόνο, ενώ επιπλέον 300.000 άνθρωποι είναι εξαρτώμενοι από άλλους για τις καθημερινές τους δραστηριότητες. Το εγκεφαλικό αποτελεί την 2η συχνότερη αιτία θανάτου.
Αιτιολογία :
Το κάπνισμα συμβάλει σημαντικά στη δημιουργία της αθηρωματικής πλάκας, καθώς και στην εξέλιξή της. Παράγοντες κινδύνου της καρωτιδικής νόσου αποτελούν επίσης δίαιτα πλούσια σε λιπαρά, όπως και έλλειψη γυμναστικής. Η παχυσαρκία και η υπέρταση αυξάνουν τον κίνδυνο εγκεφαλικού επεισοδίου, ενώ ο σακχαρώδης διαβήτης τον διπλασιάζει.
Διάγνωση :
Για να τεθεί η διάγνωση σε ασθενή με καρωτιδική νόσο πρέπει να καθοριστεί αν o ασθενής είναι Συμπτωματικός ή όχι. Σε κάθε περίπτωση η λήψη ιστορικού και ο καθορισμός των παραγόντων κίνδυνου είναι μείζονος σημασίας. Όταν ο ασθενής είναι συμπτωματικός η πολυτομεακή προσέγγιση μέσα από μία νευρολογική, καρδιολογική και αγγειοχειρουργική εκτίμηση είναι η καλύτερη δυνατή επιλογή για τη βέλτιστη αντιμετώπιση του ασθενούς.
Στην συνέχεια η διενέργεια έγχρωμου υπερηχογραφήματος (Triplex) καρωτίδων και σπονδυλικών αρτηριών αρκεί για να εκτιμηθεί αρχικά το μέγεθος, η βαρύτητα και τα χαρακτηριστικά της αθηρωματικής πλάκας του αγγείου. Εφόσον βρεθεί σημαντικού βαθμού στένωση, είναι απαραίτητο να ακολουθηθεί μία εξέταση δεύτερου επιπέδου με αξονική ή μαγνητική αγγειογραφία. Στην περίπτωση που ο ασθενής προσέρχεται στον αγγειοχειρουργό για απλή εκτίμηση και είναι ασυμπτωματικός η εξέταση με έγχρωμο υπερηχογράφο είναι αρκετή για τον εντοπισμό της καρωτιδικής νόσου.
Θεραπεία :
Η θεραπεία του ασθενούς εξαρτάται από τον βαθμό στένωσης του αγγείου, καθώς και από το εάν ο ασθενής παρουσίασε συμπτωματολογία (παροδικό ισχαιμικό εγκεφαλικό, εγκατεστημένο εγκεφαλικό, παροδική διαταραχή όρασης) ή όχι.
- Στους ασυμπτωματικούς ασθενείς με στένωση <60% σύμφωνα με τις κατευθυντήριες οδηγίες της Ευρωπαϊκής αγγειοχειρουργικής κοινότητας ακολουθείται συντηρητική θεραπεία με φαρμακευτική αγωγή και τροποποίηση των υψηλών παραγόντων κινδύνου αθηρωμάτωσης. Όταν η στένωση υπερβαίνει το 60% και τα χαρακτηριστικά της αθηρωματικής πλάκας (μαλακός θρόμβος, μεγάλη αθηρωματική επιφάνεια κ.α) υπονοούν υψηλό κίνδυνο για ισχαιμικό εγκεφαλικό, τότε ο ασθενής έχει ένδειξη για επεμβατική αντιμετώπιση.
- Σε ασθενείς που είναι συμπτωματικοί και έχουν στένωση μικρότερή του 50% η συντηρητική αντιμετώπιση με φαρμακευτική αγωγή είναι η ενδεδειγμένη θεραπεία. Η μόνη περίπτωση που ο ασθενής χρίζει χειρουργείου είναι όταν παρά την φαρμακευτική αγωγή και ενώ έχουν αποκλειστεί άλλες αιτίες ο ασθενής παρουσιάζει επαναλαμβανόμενα εγκεφαλικά επεισόδια. Όταν η αθηρωματική βλάβη προκαλεί στένωση >50% η χειρουργική παρέμβαση έχει απόλυτη ένδειξη, ενώ ο ασθενής έχει το μεγαλύτερο όφελος όταν η παρέμβαση γίνει μέσα στον πρώτο μήνα από την έναρξη της συμπτωματολογίας.
Η χειρουργική αντιμετώπιση της καρωτιδικής νόσου μπορεί να επιτευχθεί είτε με ανοιχτή χειρουργική επέμβαση, είτε μέσω ενδαγγειακής αποκατάστασης. Στην ανοιχτή χειρουργική επέμβαση γίνεται παρασκευή της κοινής, έσω και έξω καρωτίδας επιμήκη τομή του αγγείου αφαίρεση της αθηρωματικής πλάκας και συρραφή του αγγείου με την χρήση εμβαλώματος. Στην ενδαγγειακή επέμβαση μέσω παρακέντησης της μηριαίας αρτηρίας (αγγείο που βρίσκεται στον μηρό) τοποθετείται stent από τη κοινή ως την έσω καρωτίδα.
” Η αντιμετώπιση της καρωτιδικής νόσου απαιτεί εξειδεικευμένη χειρουργική εμπειρία από τον θεράπων αγγειοχειρουργό και ορθή καθοδήγηση του ασθενούς για την σωστή επιλογή της κατάλληλης τεχνικής , με στόχο την μείωση του εγχειρητικού κινδύνου.”
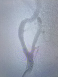
Ένδαγγειακή αντιμετώπιση καρωτιδικής νόσου
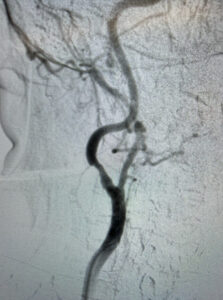
Ανοιχτή αποκατάσταση καρωτιδικής νόσου
Ένδαγγειακή αντιμετώπιση καρωτιδικής νόσου
Ανοιχτή αποκατάσταση καρωτιδικής νόσου
Διαβάστε περισσότερα για :
Περιφερική αρτηριοπάθεια

