Περιφερική αρτηριοπάθεια
Περιφερική αρτηριοπάθεια / περιφερική αποφρακτική αρτηριακή νόσος

Ορισμός :
Η χρόνια αθηρωμάτωση των αρτηριών των κάτω άκρων (Περιφερική αρτηριοπάθεια), που προκαλεί στένωση ή απόφραξη των αγγείων και έχει σαν αποτέλεσμα την μειωμένη παροχή αίματος στους ιστούς των κάτω άκρων .
Επιδημιολογία :
Σύμφωνα με άρθρο του Fowkes FG et al πάνω από 200 εκατομμύρια ασθενείς πάσχουν από περιφερική αρτηριακή νόσος, ενώ υπάρχει περίπου 25% αύξηση της νόσου σε σχέση με την προηγούμενη 10ετία. Η περιφερική αρτηριοπάθεια αφορά περίπου το 6% των ανθρώπων του δυτικού πολιτισμού με ηλικία μεγαλύτερη των 65 ετών.
Αιτιολογία : (Από τι μπορεί να προέλθει η νόσος;)
Η ηλικία είναι ένας από τους σημαντικότερους παράγοντες κινδύνου. Η νόσος μπορεί να προσβάλει μέχρι και το 25% των ανθρώπων στην ηλικία των 80 ετών ενώ σπάνια συναντάται σε ηλικία μικρότερη των 40 ετών. Το κάπνισμα έχει αποδειχθεί ότι διπλασιάζει ή ακόμα και τετραπλασιάζει τον κίνδυνο. Παρόμοια ποσοστά με το κάπνισμα έχουν και όσοι πάσχουν από Σακχαρώδη Διαβήτη, ενώ πολύ πιο σοβαρή είναι η κατάσταση όταν οι δύο τελευταίοι παράγοντες κινδύνου συνυπάρχουν. Τέλος, η υπέρταση, η υπερχοληστερολαιμία και το θετικό οικογενειακό ιστορικό αγγειακής νόσου ολοκληρώνουν το κάδρο των υψηλών παραγόντων κινδύνου. Η παχυσαρκία δεν συνδέεται άμεσα με την ύπαρξη της αρτηριοπάθειας (Περιφερική αρτηριοπάθεια), περισσότερο ευθύνεται έμμεσα (με τα όσα δημιουργεί στον οργανισμό) .
Κλινική εικόνα : Ποια η συμπτωματολογία της νόσου (Περιφερική αρτηριοπάθεια);
Στα αρχικά στάδια της πάθησης ο ασθενής παρουσιάζει διαλείπουσα χωλότητα(Δ.Χ). Διαλείπουσα χωλότητα είναι ο πόνος που προκαλείται κατά την διάρκεια της βάδισης και παύει όταν ο πάσχον σταματάει το περπάτημα. Ο πόνος μπορεί να αφορά τον γλουτό, τον μηρό, την γαστροκνημία (γάμπα) ή όλα τα παραπάνω. Το άλγος διαρκεί μερικά λεπτά (2-5΄) και ο ασθενής συνεχίζει την βάδιση του. Σε πιο προχωρημένα στάδια της αρτηριοπάθειας ο πάσχον εμφανίζει άλγος και κατά τη διάρκεια της ηρεμίας – ανάπαυσης. Αυτό είναι ένδειξη ότι η νόσος έχει προχωρήσει αρκετά και η βιωσιμότητα του άκρου απειλείται αν δεν γίνει όσο το δυνατόν πιο γρήγορα παρέμβαση.
Διάγνωση :
Για τη διάγνωση της νόσου είναι σημαντική η λήψη ιστορικού, ώστε να αναγνωριστούν οι αιτιολογικοί παράγοντες που την προκάλεσαν καθώς και η εξέλιξη της νόσου. Η κλινική εξέταση (λήψη κνημο-βραχιόνιου δείκτη) θα προσφέρει επιπλέον πληροφορίες για τη βαρύτητα της πάθησης, ενώ μείζονος σημασίας είναι η διενέργεια απεικονιστικής εξέτασης 1ου επιπέδου με έγχρωμο υπερηχογράφημα (Triplex) ώστε να καθοριστεί το επίπεδο και το μέγεθος της βλάβης. Αν οι βλάβες είναι σημαντικές και η συμπτωματολογία επηρεάζει την ποιότητα ζωής του ασθενούς, ακολουθεί μια εξέταση 2ου επιπέδου, όπως αξονική αγγειογραφία ή μαγνητική αγγειογραφία.
Θεραπεία :
Η θεραπεία του ασθενούς λαμβάνει αρχή με τη τροποποίηση των υψηλών παραγόντων κινδύνου. Στη συνέχεια ακολουθεί η δημιουργία ενός προγράμματος άσκησης, με σκοπό την αύξηση της απόστασης βάδισης. Είναι σημαντικό ο ασθενής να κατανοήσει τη σημασία που έχει η άσκηση τόσο στην ποιότητα ζωής του όσο και στην πορεία και εξέλιξη την νόσου του. Σε πάσχοντες που η νόσος βρίσκεται σε πιο προχωρημένα στάδια, η θεραπευτική προσέγγιση είναι άρρηκτα συνδεδεμένη με το είδος της αθηρωματικής βλάβης, την εντόπισή της καθώς και την έκταση που έχει. Δύο είναι οι επιλογές της θεραπευτικής παρέμβασης: η ενδαγγειακή αποκατάσταση (με την χρήση μπαλονιών και stent) και η ανοιχτή χειρουργική επέμβαση(παράκαμψη – Bypass). Κάθε μέθοδος έχει τα πλεονεκτήματα και τα μειονεκτήματα της, ο θεράπων Αγγειοχειρουργός καλείται να επιλέξει την κατάλληλη μέθοδο για κάθε ασθενή.
” Είναι σημαντικό ο θεράπων αγγειοχειρουργός να έχει μεγάλη εξοικείωση και γνώση τόσο με τις σύγχρονες(ενδαγγειακές) εγχειρητικές θεραπείες, όσο και με την κλασική χειρουργική της περιφερικής αρτηριακής νόσου, ώστε να επιλέξει για τον ασθενή του την πλέον κατάλληλη και εξατομικευμένη θεραπεία με γνώμονα το καλύτερο δυνατό αποτέλεσμα για την ίαση της νόσου. “
Απειλούμενη απώλεια κάτω άκρου λόγω κρίσιμης ισχαιμίας – επιτυχή διάσωση
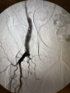
Ενδαγγειακή αποκατάσταση απόφραξης της επιπολής μηριαίας αρτηρίας
ελάχιστα παρεμβατική μέθοδος
24 ωρη παραμονή
Ενδαγγειακή επαναγγείωση της επιπολής μηριαίας αρτηρίας
πλήρη ύφεση της συμπτωματολογίας
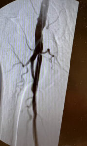
Ενδαγγειακή αποκατάσταση απόφραξης της ιγνυακής αρτηρίας
24 ωρη παραμονή στην κλινική
Ενδαγγειακή επαναγγείωση της ιγνυακής αρτηρίας
πλήρη ύφεση της συμπτωματολογίας
μετά απο 24 ώρες επιστροφή στην καθημερινότητα
Απειλούμενη απώλεια κάτω άκρου λόγω κρίσιμης ισχαιμίας – επιτυχή διάσωση
Ενδαγγειακή αποκατάσταση απόφραξης της επιπολής μηριαίας αρτηρίας
ελάχιστα παρεμβατική μέθοδος
24 ωρη παραμονή
Ενδαγγειακή επαναγγείωση της επιπολής μηριαίας αρτηρίας
πλήρη ύφεση της συμπτωματολογίας
Ενδαγγειακή αποκατάσταση απόφραξης της ιγνυακής αρτηρίας
24 ωρη παραμονή στην κλινική
Ενδαγγειακή επαναγγείωση της ιγνυακής αρτηρίας
πλήρη ύφεση της συμπτωματολογίας
μετά απο 24 ώρες επιστροφή στην καθημερινότητα
Διαβάστε περισσότερα για :

