Σύνδρομο υποκλοπής υποκλειδίου αρτηρίας
Σύνδρομο υποκλοπής υποκλειδίου αρτηρίας / στένωση υποκλειδίου
Το σύνδρομο υποκλοπής υποκλειδίου το παρατήρησε για πρώτη φορά το 1960 ο Ιταλός ραδιολόγος Contorni.
Ορισμός :
Το σύνδρομο υποκλοπής υποκλειδίου αρτηρίας είναι το φαινόμενο κατά το οποίο υπάρχει ανάστροφη ροή αίματος (η ροή του αίματος είναι αντίθετη από τη φυσιολογική της φορά) σε έναν από τους αρτηριακούς κλάδους της υποκλειδίου αρτηρίας σαν αποτέλεσμα μιας αιμοδυναμικά σημαντικής ομόπλευρης (της ίδιας πλευράς) στένωσης στο εγγύς τμήμα της υποκλειδίου αρτηρίας.
Επιδημιολογία :
Το σύνδρομο υποκλοπής υποκλειδίου αρτηρίας αφορά κυρίως την αριστερή υποκλείδιο αρτηρία σε μία αναλογία 4 με 5 προς 1. Στένωση της ανωνύμου αρτηρίας συναντάται στο 1/10 των περιπτώσεων.
Αιτιολογία :
Η κύρια αιτία στένωσης της υποκλειδίου αρτηρίας είναι η αθηρωματική νόσος. Σπανιότερα η νόσος μπορεί να οφείλεται σε εμβολισμό, σε αγγειίτιδα μεγάλων αγγείων, σε στένωση μετά από χειρουργείο στην περιοχή του θώρακα και σε συγγενής ανατομική ανωμαλία. Σε αυτές τις περιπτώσεις συναντάται σε νεότερα άτομα.
Κλινική εικόνα :
Όταν υπάρχει μεγάλου βαθμού στένωση (τουλάχιστον >50%) στην υποκλείδιο αρτηρία το μεγαλύτερο ποσοστό των ασθενών θα έχει αναστροφή της ροής στην σπονδυλική αρτηρία ή/και στην έσω μαστική αρτηρία, παρόλα αυτά οι περισσότεροι ασθενείς είναι ασυμπτωματικοί. Η συμπτωματολογία με την οποία παρουσιάζεται η νόσος είναι συνήθως διαλείπουσα χωλότητα (άλγος κατά τη διάρκεια άσκησης) , ψυχρότητα, πληγές στα άκρα που δεν επουλώνονται, μούδιασμα ή παραισθησία στο άνω άκρο μετά από άσκηση ή ακόμα και στην ηρεμία.
Επιπλέον, η νόσος μπορεί να παρουσιαστεί με νευρολογική συμπτωματολογία. Χαρακτηριστικά παραδείγματα είναι: παροδικό εγκεφαλικό επεισόδιο, απώλεια συνείδησης, ίλιγγος, ζάλη, πονοκέφαλος, θολή όραση, εμβοές, ακόμα και απώλεια ακοής. Σε αυτό το σημείο πρέπει να τονιστεί το γεγονός ότι πολλά από τα προαναφερθέντα συμπτώματα μπορεί να οφείλονται και σε εμβολικά επεισόδια (αποκόλληση ενός μικρού τμήματος του αθηρώματος/θρόμβου και απόφραξη ενός περιφερικότερου αγγείου) από την αθηρωματική πλάκα της υποκλειδίου αρτηρίας.
Τέλος, ασθενείς που έχουν υποβληθεί σε στεφανιαίο bypass και έχει χρησιμοποιηθεί η έσω μαστική αρτηρία μπορεί να παρουσιάσουν στηθανχικά επεισόδια ή ακόμα και έμφραγμα μετά από άσκηση του άνω άκρου. Αυτό συμβαίνει λόγω αυξημένων απαιτήσεων αιματικής ροής του άνω άκρου, που προκαλεί αναστροφή της ροής του αίματος από την έσω μαστική αρτηρία που χρησιμοποιείται πλέον για την αιμάτωση της καρδιάς.
Διάγνωση :
Η λήψη του ιστορικού είναι πολύ σημαντική καθώς ο ασθενής μπορεί να περιγράψει τα συμπτώματα από τα οποία πάσχει και να καθοδηγήσει στη διάγνωση το θεράποντα Αγγειοχειρουργό. Ακολουθεί κλινική εξέταση, όπου λαμβάνεται αρτηριακή πίεση και από τα δύο άκρα, όταν η διαφορά πίεσης είναι μεγαλύτερη από 15 mmHg, καθώς και όταν υπάρχει διαφορά στην ένταση των παλμών ή όταν οι παλμοί στο ένα άκρο είναι ετεροχρονισμένοι, όλα αυτά τα κλινικά ευρήματα θέτουν την υποψία του συνδρόμου υποκλοπής της υποκλειδίου αρτηρίας. Εφόσον, έχει τεθεί η κλινική υποψία ακολουθεί η διενέργεια απεικονιστικού ελέγχου με έγχρωμο υπερηχογράφημα το οποίο πλαισιώνεται στη συνέχεια με εξέταση 2ου επιπέδου όπως αξονική αγγειογραφία ή εναλλακτικά μαγνητική αγγειογραφία.
Θεραπεία :
Σε ασθενείς που δεν παρουσιάζουν συμπτωματολογία (ασυμπτωματικοί), ακολουθείται συντηρητική αντιμετώπιση και τροποποίηση των υψηλών παραγόντων κινδύνου της αθηρωματικής νόσου. Εξαίρεση αποτελούν οι ασθενείς που έχουν υποβληθεί σε στεφανιαίο bypass (παράκαμψη) με την χρήση έσω μαστικής αρτηρίας, καθώς και αυτοί που πρόκειται να υποβληθούν στην ίδια επέμβαση. Στους συμπτωματικούς ασθενείς σημαντικό ρόλο έχει το που εστιάζεται η νόσος. Πλέον η ενδαγγειακή αντιμετώπιση (αγγειοπλαστική) με μπαλόνι ή/και με την χρήση stent (ενδονάρθηκα) είναι η θεραπεία εκλογής καθώς πρόκειται για μια ελάχιστα επεμβατική μέθοδο με πάρα πολύ καλά αποτελέσματα (85% βατότητα στην 5ετία). Εναλλακτικά μπορεί να διενεργηθεί καρωτιδο- υποκλείδιο bypass ή στις περιπτώσεις ασθενών με αυξημένο περιεγχειρητικό κίνδυνο μασχαλο- μασχαλιαίο bypass.
” Το σύνδρομο υποκλοπής υποκλειδίου αρτηρίας αποτελεί μία πάθηση που δεν εμφανίζει απαραίτητα συμπτώματα στον ασθενή. Σε κάθε περίπτωση όμως είναι απαραίτητη η αντιμετώπιση της νόσου είτε με συντηρητικά μέτρα είτε με επεμβατικά, καθώς και η παρακολούθηση του ασθενούς από τον θεράπων Αγγειοχειρουργό με γνώμονα την προστασία του ασθενούς. “
Ο Αναστάσιος Ποτουρίδης είναι αγγειοχειρουργός στη Θεσσαλονίκη.
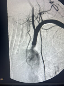
αποκατάσταση με τοποθέτηση stent
σε 24 ώρες εξιτήριο
αποκατάσταση με τοποθέτηση stent
σε 24 ώρες εξιτήριο

